Новости
Личные финансы
Родители и дети
Здоровье
Ещё
Развлечения и отдых
Дом и уют
Спорт
Карьера
Авто
Технологии и тренды
Жизненные ситуации
Сберегаем вместе
Еда
Гороскопы
Почта
Поиск
Погода
ТВ-программа
Помощь
Поиск по интернету
$
80.62
€
93.44
Личный опыт
Новости путешествий
Рынки
Люди
Истории
Безумный мир
Биатлон
В мире
Природа
Профессии
Порядок
ЗОЖ
Воспитание
Что делать, если
Гаджеты
Музыка
Финансовая грамотность
Фильмы и сериалы
Новости Москвы
Стиль жизни
Ноутбуки и ПК
Госуслуги
Питомцы
Болезни
Отношения
Кино
Кредиты
Отдых в России
Футбол
Политика
Помощь
Семейный бюджет
Инструкции
Здоровое питание
Трудовое право
Сериалы
Софт
Вклады
Отдых за границей
Хоккей
Общество
Герои
Цифры
Безопасность
Ремонт и стройка
Беременность
Книги
Инвестиции
Лекарства
Поиск работы
Лайфхаки
Актеры
Еда
Происшествия
Личный опыт
Научпоп
Красота
Малыши
Театры
Выгода
Продуктивность
Мебель и декор
Бокс/MMA
Наука и техника
Законы
Дача и сад
Психология
Образование
Выставки и музеи
Школьники
Карты и платежи
Автоспорт
Психология
Шоу-бизнес
Защита
Детское здоровье
Прогулки
Карьерный рост
Бытовая техника
Теннис
Военные новости
Хобби
Рецепты
Экономика
Баскетбол
Тренды
Игры
Аналитика
Туризм
Компании
Личный счет
Недвижимость
Фигурное катание
Дети
Биатлон/Лыжи
Дом и сад
Шахматы
Летние виды спорта
Зимние виды спорта
Волейбол
Около спорта
Новости по хронологии
Сергей Твердохлебов.
Главные новости, фото и видео
2 апреля
Апрель
2026
пн
вт
ср
чт
пт
сб
вс
1
2
3
4
5
6
7
8
9
10
11
12
13
14
15
16
17
18
19
20
21
22
23
24
25
26
27
28
29
30
Разработанные в ТПУ покрытия для имплантатов начали применять в лечении
Наука
22 августа 2023
Сергей Твердохлебов
Томский политех
В России начали исследования по разработке многофункционального гибридного биочипа
Наука
15 апреля 2022
Сергей Твердохлебов
Томский политех
Минобрнауки России
Гибридный биочип планируют создать в Томске до 2030 года
Наука
14 апреля 2022
Сергей Твердохлебов
Томский политех
Найден способ ускорить заживление переломов у пациентов с остеопорозом
Наука
24 февраля 2022
Сергей Твердохлебов
Новые гибридные покрытия для коронарных стентов снизят риск рестеноза
Наука
21 января 2022
Сергей Твердохлебов
РАН
Томский политех
Ученые из Томска создали уникальное покрытие для защиты металлов в воде
Наука
13 декабря 2021
Сергей Твердохлебов
РИА Новости
Томский политех
Политехники получили премию Правительства РФ для молодых ученых
Наука
3 ноября 2021
Сергей Твердохлебов
Ирина Ларионова
Правительство РФ
Уголовные дела о госизмене в отношении руководителей российских военно-научных организаций
Криминал
12 августа 2021
Сергей Твердохлебов
Михаил Иванов
Виктор Кудрявцев
Роман Ковалев
Александр Куранов
Игорь Решетин
Сергей Визир
ФСИН
ФСБ
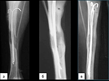
Томские ученые сумели удвоить скорость заживления переломов
Наука
13 июля 2021
Сергей Твердохлебов
В России научились лечить переломы в два раза быстрее
Наука
13 июля 2021
Сергей Твердохлебов
Томский политех
В Томске ФСБ задержала ученого Александра Луканина за "передачу технологий Китаю", его обвиняют в госизмене
Другое
30 сентября 2020
Сергей Твердохлебов
Валентин Данилов
Юрий Цветков
Олег Коробейничев
Роман Ковалев
Сергей Дзюба
Виктор Кудрявцев
Сергей Мещеряков
Сергей Визир
Владимир Лапыгин
Евгений Афанасьев
Михаил Иванов
Игорь Решетин
Пентагон
Общественная палата России
Правительство РФ
Генпрокуратура РФ
ЦНИИМАШ
Минобрнауки
Роскосмос
РАН
ЕС
ФСИН
МГТУ им. Баумана
Томский политех
ФСБ
Громкие дела о госизмене и разглашении гостайны в отношении российских ученых
Криминал
15 июня 2020
Сергей Твердохлебов
Юрий Цветков
Олег Коробейничев
Валентин Данилов
Роман Ковалев
Сергей Дзюба
Сергей Мещеряков
Виктор Кудрявцев
Сергей Визир
Владимир Лапыгин
Дмитрий Рогозин
Евгений Афанасьев
Михаил Иванов
Игорь Решетин
Пентагон
ИТАР-ТАСС
Общественная палата России
Правительство РФ
ЦНИИМАШ
Роскосмос
ФСБ
Генпрокуратура РФ
РАН
ЕС
ФСИН
МГТУ им. Баумана
Мосгорсуд
Контейнеры для раздельного сбора мусора установили во дворах Пресненского района
Другое
31 декабря 2019
Сергей Твердохлебов
Исследования ученых из Томска вошли в доклад РАН для президента и правительства РФ
Технологии
3 сентября 2019
Сергей Твердохлебов
Владимир Путин
Игорь Семилетов
РАН
Томский политех
ИТАР-ТАСС
Правительство РФ
Имплантаты для аппарата Илизарова в два раза сократили срок удлинения костей
Другое
22 января 2019
Сергей Твердохлебов
Томский политех
Новости партнеров
1
2
3
4
5