Имплантаты для аппарата Илизарова в два раза сократили срок удлинения костей

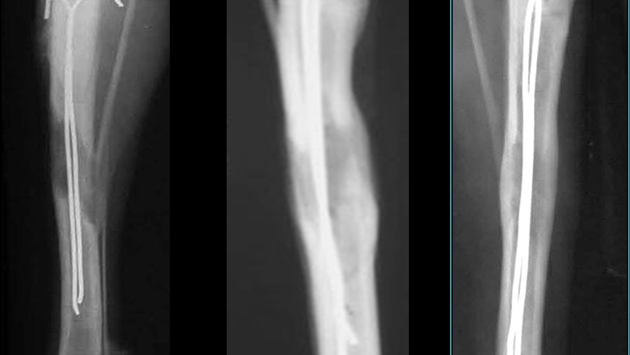
В ортопедическом Центре Илизарова в Кургане прошли стадию доклинических испытаний имплантаты, разработанные специалистами Томского политехнического университета. Они являются частью вариации аппарата Илизарова, применяемого для удлинения и исправления деформаций длинных трубчатых костей у детей. В ходе доклинических испытаний имплантаты помогли сократить сроки, необходимые для удлинения конечности, почти в два раза. Результаты исследований опубликованы в журнале Biomedical Materials. Советский хирург Гавриил Илизаров в середине 20 века разработал специальный аппарат для исправления пропорций тела, кривизны ног и разных деформаций костей. Его особенность заключалась в том, что фиксирующие кости элементы находились снаружи. Этот аппарат лежит в основе метода чрескостного остеосинтеза, который сегодня применяют более чем в 60 странах мира. Современный аппарат Илизарова состоит из титановых или углепластиковых стержней, которые фиксируются на конечности на пластинах различной формы и соединяются между собой подвижными штангами. За счет движения этих штанг врачи и корректируют рост кости. Имплантаты-спицы, разработанные российскими учеными, сделаны из традиционных для имплантологии материалов — стали и сплава титан-алюминий-ванадий. Однако ученые нанесли на них специальные покрытия. На стальные спицы были нанесены композитные материалы на основе пьезоэлектрического фторуглеродного пластика и гидроксиапатита. На титановые имплантаты исследователи наносили покрытие из фосфата кальция методом микродугового оксидирования. В случае с титановыми имплантатами и покрытием из гидроксиапатита мезенхимальные стволовые клетки реагируют на химический состав покрытия, и поэтому начинают дифференцироваться. А в случае со стальными имплантатами они реагируют на пьезоэлектрические свойства покрытия. «В случаях, когда кость нужно удлинить — например, когда у ребенка ножки разной длины — проводится рассечение кости, и ее части медленно раздвигаются. Разработанный нами имплантат представляет собой титановую или стальную спицу, он используется в качестве "проводника", помогающего сформироваться новой костной ткани. Такая спица вставляется внутрь трубчатой кости, — говорит один из авторов статьи, доцент Научно-образовательного центра Б.П. Вейнберга ТПУ Сергей Твердохлебов. — Такой имплантат помогает ускорить регенерацию кости, а, следовательно, и сократить срок реабилитации». На этапе доклинических испытаний специалисты Центра Илизарова прооперировали 24 собаки. Они сравнивали классические стальные, титановые имплантаты без покрытий и имплантаты с покрытиями. Испытания показали, что с применением томских имплантатов 4 см костной ткани восстанавливались за 35 суток, а с классическими имплантатами — за 70 суток. Понравился материал? Добавьте Indicator.Ru в «Мои источники» Яндекс.Новостей и читайте нас чаще.

Имплантаты для аппарата Илизарова в два раза сократили срок удлинения костей
© Индикатор