Курганские врачи пять часов делали ребенку уникальную операцию

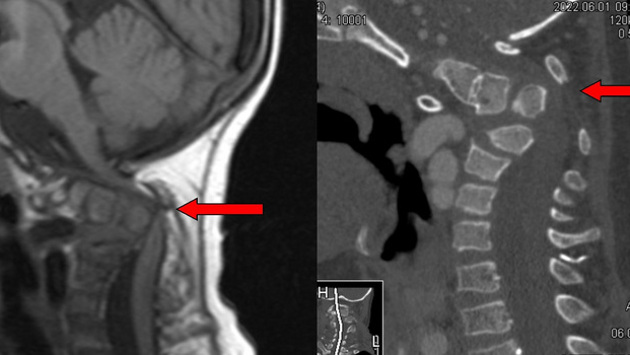
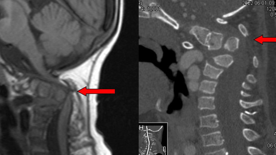
Нейрохирурги курганского Центра Илизарова помогли девятилетнему ребенку из Бурятии избавиться от редкого заболевания. Маленькому пациенту сделали три сложных операции, одна из них длилась пять часов. Об этом сообщает пресс-служба медцентра.

Курганские врачи пять часов делали ребенку уникальную операцию
© Ura.Ru

«У ребенка было диагностировано критическое сдавление спинного мозга, при малейшем ударе или физической нагрузке пациенту грозил полный паралич и даже смерть. Пациенту было проведено три сложных и длительных высокотехнологичных операции, две из которых проходили в два-три этапа. Нейрохирурги установили пациенту двойную фиксирующую металлоконструкцию в шейном отделе позвоночника», — говорится в сообщении. В лечении пациента принимали участие руководитель Центра имени Илизарова Александр Бурцев и врачи Ольга Сергеенко и Максим Древаль.

Несмотря на большие риски, нейрохирургам удалось избежать неврологических осложнений у ребенка. Сейчас мальчику уже ничего не угрожает. Через два месяца он сможет вести обычный образ жизни.

Ранее URA.RU писало, что в Кургане начали лечить пострадавших на Украине. В Центре имени Илизарова появились первые пациенты, получившие травмы во время проведения спецоперации.

Более ста тысяч россиян читают наши новости в телеграме! Присоединяйтесь и вы – подписывайтесь на канал «URA.RU»