Рамблер
Все новости
Личные финансы
Женский
Кино
Спорт
Aвто
Развлечения и отдых
Здоровье
Путешествия
Помощь
Полная версия

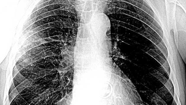
Учёные: «Омикрон» быстрее вызывает пневмонию по сравнению с другими штаммами коронавируса

Александр Семёнов, доктор биологических наук, вирусолог и иммунолог, руководитель Екатеринбургского научно-исследовательского института вирусных инфекций центра «Вектор» Роспотребнадзора рассказал, чем «Омикрон» отличается от других штаммов коронавируса.

По словам эксперта, у «Омикрона» эффективные механизмы присоединения к рецепторам и проникновения в клетки человеческого организма. Поэтому он быстрее, чем другие варианты SARS-CoV-2, опускается в лёгкие, вызывая пневмонию. Если при других штаммах от момента заражения до развития пневмонии проходило 10-11 дней, сейчас этот период сократился до 3-5 дней.

При этом «Омикрон» немногим отличается от других штаммов. «Оно меняется и становится более эффективным, но мы пока всего не знаем. Тесты на нейтрализацию вируса занимают достаточно много времени, но биоинформатические исследования уже проведены во многих странах, в том числе и в России. И учёные не нашли ничего такого, что бы ставило свойства вируса с ног на голову. Что плохо в штамме «Омикрон», он точно так же, как и «Дельта», более тропен, то есть способен к взаимодействию с эпителием лёгких — нижних дыхательных путей. Поэтому «Омикрон» быстрее спускается в лёгкие, вызывая пневмонию. Это очень тревожно», — отметил Семёнов.