Нобелевские лауреаты: Фредерик Бантинг. Первооткрыватель инсулина

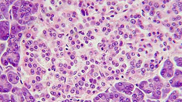
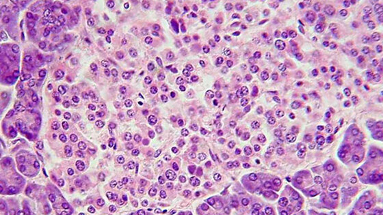
Как удачный случай сохранил будущему нобелевскому руку от ампутации, чем он похож на Менделеева и Кекуле и почему ученые едва ли не подрались из-за Нобелевской премии, рассказвыаем в рубрике «Как получить Нобелевку». Сэр Фредерик Гран Бантинг Родился: 14 ноября 1891 года, Аллистон, Канада Погиб: 21 февраля 1941 года, Ньюфаундленд, Канада Нобелевская премия по физиологии или медицине 1923 года (совместно с Джоном Маклеодом). Формулировка Нобелевского комитета: «За открытие инсулина» (For the discovery of insulin). Первый подлинно канадский нобелевский лауреат родился в небольшом поселке Аллистон в провинии Онтарио. Он был младшим из пяти детей Уильяма Томпсона Бантинга и Маргарет (Грант) Бантинг. Фредерик вырос на ферме, учился в местной бесплатной школе, увлекался рисованием, занимался спортом. Мальчик как мальчик. Родители мечтали видеть его священником, и, повинуясь воле родителей, Бантинг-самый-младший в 1912 году поступил в Торонтский университет на богословский факультет. Соприкоснувшись со священничеством вживую, Фредерик быстро понял, что это «не его». Он хотел спасать людей, но в прямом смысле слова. И в том же году перевелся на медицинский. Нормально доучиться Бантингу не дали: началась Первая мировая. В 1915 году он записался в ряды медицинского корпуса Королевской канадской армии. Однако его отправили обратно в медицинскую школу, и через год Фредерик уже был бакалавром. И все равно отправился на фронт. Так что повоевать Бантингу пришлось, военным хирургом и даже получить ранение в плечо – во второй битве при Камбре, в 1918 году. Нужно сказать, что тут карьера Бантинга-хирурга могла завершиться: ранение было серьезным и его коллега все время порывался ампутировать руку молодому врачу. Но Фредерик уговорил повременить с ампутацией. И угадал. Он сохранил руку, а в 1919 году получил и боевую награду за то сражение – британский Военный крест. В том же 1919 году Фредерик начал мирную жизнь, поработал какое-то время детским хирургом, а в 1920 году открыл частную практику в Лондоне. Правда, не в столице империи, а в небольшом городе в провинции Онтарио в Канаде. Быть может, в Лондоне доктора Ватсона практика и оправдала бы себя, но в провинциальной Канаде денег не было. И он пошел работать «за зарплату» — ассистентом профессора в медицинской школе (факультете по-нашему) Университета Западного Онтарио. А затем случилась трагедия, которая привела к спасению миллионов жизней за последующие десятилетия. От сахарного диабета умер друг детства, и Фредерик Бантинг начал серьезно заниматься этим заболеванием. Кто мог знать, что путь от глубокого душевного потрясения до Нобелевской премии будет проделан за три года. Еще до Бантинга медики предполагали, что за развитие диабета как-то отвечает поджелудочная железа, а точнее – ее гормон («секрет»), который вырабатывают так называемые островки Лангерганса. Эти скопления секреторных клеток открыл еще в 1869 году германский патологоанатом и гистологом Пауль Лангерганс-младший, ученик и друг Рудольфа Вирхова. Сейчас мы знаем, что они выделяют гормон инсулин, который, попадая в кровь, способствует поглощению из крови глюкозы. Если инсулина нет, то клетки, не получая глюкозы, расщепляют жиры, и в результате начинается так называемый кетоацидоз, сдвиг кислотно-основного баланса в организме и смерть. Характерный симптом диабета – высокое содержание сахара в крови и моче (это заметил еще в XVII веке знаменитый Томас Уиллис, первооткрыватель так называемого вилизиевого круга – артериального круга головного мозга и отец термина «неврология»). Еще в конце XIX веке был сделан такой эксперимент: у собаки удаляли поджелудочную железу и наблюдали все симптомы сахарного диабета – резкий подъем уровня сахара в крови и моче. У врачей появилась идея кормить пациентов с диабетом свежей поджелудочной железой животных или экстрактами из нее, но, к сожалению, ничего не работало. Как мы сейчас понимаем, инсулин разлагали другие ферменты поджелудочной железы: этот орган обладает двумя типами секреторных клеток. Есть еще так называемые ацинозные клетки, они синтезируют и выделяют в панкреатические протоки пищеварительные ферменты, которые в итоге попадают в тонкий кишечник и переваривают пищу. То есть поджелудочная железа, в случае нарушения ее целостности, просто переваривает инсулин. Разгадка пришла, как это водится, во сне. Одним октябрьским вечером Бантинг читал статью некоего Мозеса Баррона, в которой показывалось, что блокада панкреатических протоков желчными камнями вызывает атрофию того самого второго типа клеток поджелудочной: ацинозных клеток. Мы не знаем, вскричал ли ночью Бантинг «Эврика!», однако именно во сне ему пришло в голову решение проблемы. Он сумел проснуться и внятно записать (через несколько выпусков мы расскажем вам историю, как другой нобелевский лауреат, записав схему эксперимента ночью, наутро не смог разобрать свои каракули): «Перевязать протоки поджелудочной железы у собак. Подождать шесть-восемь недель. Удалить и экстрагировать». Как потом писал Бантинг в своей статье, он считал, что, «перевязав протоки и выждав некоторое время, необходимое для разрушения ацинозных клеток, сумеет найти способ получения экстракта островковьгх клеток, не подверженного разрушающему воздействию трипсина и других панкреатических ферментов». Однако на эксперименты нужны были деньги, оборудование и люди. Друзья надоумили рассказать об идее физиологу Джону Маклеоду, шотландцу, профессору Торонтского университета, очень крупному специалисту по диабету. Маклеод дал добро. Правда, по воспоминаниям самого Бантинга, со второго раза, с первого раза он назвал идею молодого коллеги бредом. Итак, в 1921 году гуру диабета уехал в Шотландию отдыхать, обеспечив Бантинга лаборантом, который умел хорошо определять сахар в крови, позицией в Торонском университете и самой современной физиологической лабораторией в Канаде. Лаборантом был Чарльз Бест, с которым Бантинг очень быстро нашел общий язык, и работа закипела. Пока Маклеод отдыхал (с мая по август 1921 года), молодые ученые сумели сделать все основные работы: выделить инсулин (это название гормон получил по слову insula – «остров», от островков Лангерганса), удалить поджелудочную экспериментальной собаке, а затем ввести ей инсулин и спасти умирающее животное. Первые доклады об открытии и роли инсулина были сделаны уже в том году. Подключился и Маклеод, который использовал все свои ресурсы для производства инсулина в огромных количествах, подключив к группе биохимика Джеймса Коллипа. В январе 1922 года в Торонто инсулин получил первый пациент, 14-летний мальчик. В том же году случился и конфликт: Маклеод, рассказав об открытии на собрании Американской врачебной ассоциации и прессе, сделал акцент на своих заслугах, а Бантинга и Беста отодвинул на вторые роли. Говорят, что после этого всегда спокойный и корректный Бантинг даже ударил Коллипа — «человека Маклеода». В 1923 году пришла Нобелевская премия. Когда Бантинг узнал, что в числе лауреатов оказался Маклеод, но не было его коллеги Беста, то несмотря на обычную доброту и спокойствие оказался в бешенстве. Первой мыслью ученого стало просто забросить все эти «внутринаучные разборки» подальше и отказаться от Нобелевской премии, но друзья отговорили от такого поступка (и потому единственным человеком, по собственной воле отказавшимся от премии за всю историю, стал писатель и философ Жан Поль Сартр). Тогда благородный ученый отдал (и позаботился о том, чтобы об этом узнали все) половину премии своему ученику, и во всех публичных выступлениях (включая Нобелевскую церемонию), подчеркивал роль Беста в открытии инсулина. Увы, Бантинг, переживший Первую мировую, не выжил во Второй мировой. Незадолго до войны наш герой фактически основал новую науку – авиационную и высотную медицину, а когда началась война, вступил в канадские ВВС, и перевозил военные сообщения из Канады в Британию 21 февраля 1941 года его самолет упал на остров Ньюфаундленд. До подхода спасателей Бантинг не дожил. Подписывайтесь на Indicator.Ru в соцсетях: Facebook, ВКонтакте, Twitter, Telegram, Одноклассники.

Нобелевские лауреаты: Фредерик Бантинг. Первооткрыватель инсулина
© Индикатор