Кировские хирурги спасли жизнь женщине, подавившейся рыбной костью

За помощью она обратилась только на 6 день.

Кировские хирурги спасли жизнь женщине, подавившейся рыбной костью
© Первоисточник

Жительница Уржумского района подавилась рыбной костью, но за медицинской помощью обращаться не стала. Через 3 дня она не могла ни есть, ни пить. А через 6 дней решила обратиться к врачу, откуда и была экстренно доставлена в Киров.

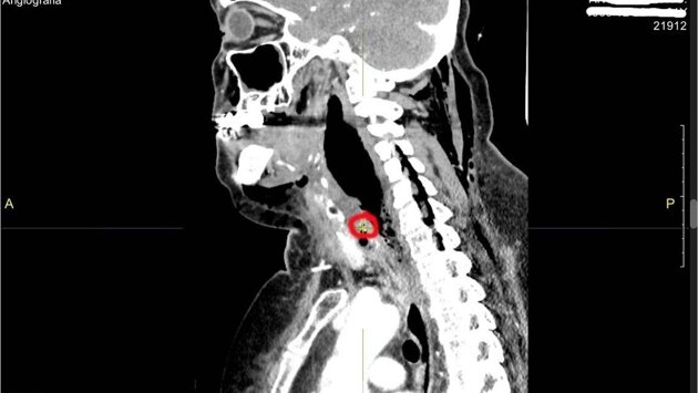
В областную больницу пациентка поступила в тяжелом состоянии с сильнейшим обезвоживанием и интоксикацией. При проведении компьютерной томографии было обнаружено инородное тело шейного отдела пищевода (рыбная кость) и флегмона шеи верхнего средостения. Гнойное воспаление тканей опустилось вниз - в полость между лёгким и сердцем, развился передний медиастинит.

Пациентка была незамедлительно прооперирована. Выполнено широкое вскрытие флегмоны, аэрация и санирование раны, а также трахеостомия. Это операция по формированию временного отверстия в трахее при закупорке верхних дыхательных путей инородным телом. Две недели пациентка находилась в реанимации, получала питание через зонд. В это время потребовалась еще одна операция по удалению гнойных затеков области плеча и шеи, - рассказал заведующий оториноларингологическим отделением КОКБ Владимир Михеев.

После перевода из реанимации в оториноларингологическое отделение пациентка по-прежнему не могла принимать пищу через рот. Специалисты выполнили операцию по наложению гастростомы – искусственного отверстия, которое соединяет переднюю брюшную стенку и желудок и необходимо для питания пациентки.

Всего женщина провела в областной больнице около месяца и была выписана в ЦРБ на долечивание. Пациентка уверенно идет на поправку. Женщине предстоит ещё ряд операций, но главное, что ее жизнь уже вне опасности.